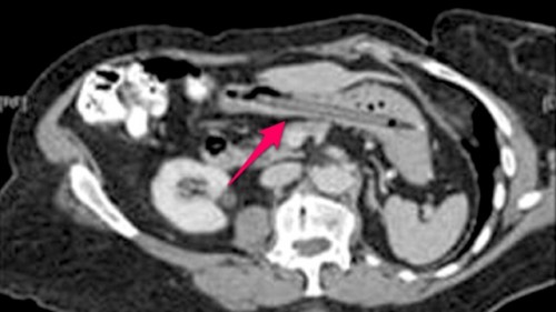
It's a story you hear every day- woman goes in to see her doctor due to rapid weight loss, and an x ray reveals that she's had a felt tip pen stuck in her stomach for the last 25 years. Here's more: On subsequent que...
https://www.neatorama.com/2012/07/23/woman-had-a-pen-in-her-stomach-for-25-years/On June 28, the United States Supreme Court issued... ...re Act, also known as Obamacare. Both CNN and Fox News , in an effort to break the news quickly, announced the plan had been struck down... ...ong. Ten days later, enough information about the news errors had been uneart...
https://www.neatorama.com/2012/07/09/a-cautionary-tale-for-the-news-industry/How did the internet react to the Supreme Court's ruling on Obamacare? With memes and image macros, of course! The above image put together by by Gary He is a reference to CNN's erroneous report that Obamacare had be...
https://www.neatorama.com/2012/06/29/the-internet-reacts-to-obamacare/When you watch a scary movie, it's easy to con... ...'s only a movie." The same can't be said of these news stories that are terrifying enough to become horr... ...he caller was able to tell them the code. Even odder , the majority of the calls appeared to come from...
https://www.neatorama.com/2012/06/25/5-real-news-stories-that-sound-more-like-horror-movies/A woman in Orange County, California discovere... ...Orange County Fire Authority officials tell the newspaper that the woman collected the rocks on a nearby be...
https://www.neatorama.com/2012/05/17/lying-isnt-the-only-way-to-set-your-pants-on-fire/The Onion, as most of you know, is a satirical news site that publishes fictional news stories that hits uncomfortably close to home. Ev... ...rtably close to home. Every once in a while, some news outlet unknowingly uses it as a source, with majo... ...sment to follow. On...
https://www.neatorama.com/2012/04/01/6-times-the-onion-had-people-completely-fooled/A man in England was walking home with his groceries when he was accosted by what might be the world's cutest mugger. The suspect, a typical red fox, circled around the man while nipping at him and his groceries. Eventua...
https://www.neatorama.com/2012/03/19/dont-you-hate-it-when-youre-mugged-by-critters/Sure we all have things we resent our parents for, but it takes a lot to truly be a bad parent, especially to be named as one of the top ten terrible parents. While many of the cases are heart-breaking stories of abu...
https://www.neatorama.com/2012/02/10/the-10-worst-parents-ever/(Video Link) Did you know that the Daleks originated from Doctor Who's take on the Cuban Missile Crisis? The second serial presented on Doctor Who, a six-part story called “The Daleks,” was set on a distant world w...
https://www.neatorama.com/2012/01/27/5-doctor-who-episodes-based-on-real-events/(YouTube link) Former county commissioner Jimmy Dimora is on trial in Akron, Ohio, for corruption. Channel 19 is covering the trial, but are not allowed to take cameras into the federal courtroom. So they did the next...
https://www.neatorama.com/2012/01/19/puppets-court/

