Scientists Who Experimented On Themselves



Science is a field based largely on theory and experimentation, which is why you have to be pretty darn certain you are right if you're willing to test your ideas on yourself. For example, in the picture above:
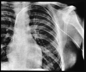
In 1929 in the basement of the Eberswaled Hospital in Germany, surgical resident Werner Forssmann inserted a ureteral catheter tube into his elbow, feeding it through a vein up to his heart. He used a mirror as his assistant, since he had restrained his nurse to the operating table. He then took an x-ray of his chest (at left) to determine the catheter had indeed made it to the right atrium.

Learn about more dedicated, and brave, scientists over at Mental Floss.

Link

Newest 1
Newest 1 Comment

I tried 28 hour days in college. 168 hours per week is six even days of 28 hours and if you line up your courses just right you can get 20 hours of work done, eight hours of sleep, and be back at the beginning again on Monday. The first few days were hard, the next two weeks were great -- all kinds of time for homework over nights when everyone else was asleep. Three weeks in my roommate and I slept for 18 hours straight and learned that some things are not meant to be trifled with, and eight hours of sleep to twenty hours awake was not the right ratio. Also, going to sleep at four pm sucks.
Abusive comment hidden. (Show it anyway.)
Login to comment.
Email This Post to a Friend
"Scientists Who Experimented On Themselves"

Separate multiple emails with a comma. Limit 5.

 

Success! Your email has been sent!

close window
X

This website uses cookies.

This website uses cookies to improve user experience. By using this website you consent to all cookies in accordance with our Privacy Policy.

I agree
 
Learn More