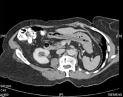
Pen Removed from Woman's Stomach Still Works after 25 Years



This story has all the makings of a wonderful ad campaign for the pen manufacturer. A woman accidentally swallowed a pen. Her husband and doctor thought that she was making the whole thing up, so nothing was done about it. Twenty-five years later, a surgeon removed it from her and found the pen in full working order.

Link -via DVICE | Photo: British Medical Journal/Oliver Richard Waters, Tawfique Daneshmend, Tarek Shirazi

Newest 5
Newest 5 Comments

http://casereports.bmj.com/content/2011/bcr.10.2011.5001/F2.medium.gif

she was apparently "examining her tonsils" when the felt tip pen slipped and she swallowed it.
Abusive comment hidden. (Show it anyway.)
How can a felt-tip pen last 25 years? Mine dry out in no time.

I don't care if or how this woman did it. I want to know why a grown woman thought it was a good idea to swallow a pen?

Did the little voice in her head tell her to do it? Maybe it was a bar bet?
Abusive comment hidden. (Show it anyway.)
I love that when she told both her doctor and husband that she had swallowed a pen they completely dismissed her. Oh you know how women are, always claiming they swallow stuff.
Abusive comment hidden. (Show it anyway.)
Login to comment.
Email This Post to a Friend
"Pen Removed from Woman's Stomach Still Works after 25 Years"

Separate multiple emails with a comma. Limit 5.

 

Success! Your email has been sent!

close window
X

This website uses cookies.

This website uses cookies to improve user experience. By using this website you consent to all cookies in accordance with our Privacy Policy.

I agree
 
Learn More